We’ve all seen them: social media posts and online articles promising brilliant white teeth using simple household ingredients. From activated charcoal to baking soda, the internet is flooded with DIY tooth whitening remedies that seem too good to be true. At Empire Dental Care, we understand the desire for a brighter smile, and we want to help you separate fact from fiction when it comes to natural whitening methods. As your trusted family dentist in Webster, we’re here to share the truth about what really works and what could potentially harm your beautiful smile.
Understanding DIY Tooth Whitening Methods
Many popular “natural” whitening trends don’t deliver on their promises and may even affect your dental health. Here’s what you should know about common DIY approaches:
Activated Charcoal: Despite its popularity, activated charcoal is highly abrasive. While it may remove surface stains temporarily, it can wear down tooth enamel over time, leading to increased sensitivity. Activated charcoal is gaining increasing popularity as an ingredient in oral hygiene products that can also facilitate tooth whitening.1
Baking Soda and Lemon Juice: This combination presents unique challenges. Lemon juice is highly acidic and can erode enamel, while baking soda’s abrasiveness compounds the effect.
Apple Cider Vinegar: The acidity in apple cider vinegar can weaken and discolor tooth enamel, sometimes making teeth appear more yellow rather than achieving the desired whiteness.
Hydrogen Peroxide (Improper Use): While professional whitening treatments use carefully measured amounts of hydrogen peroxide, using high concentrations at home without professional guidance can irritate gums and affect soft tissue.
Safe Ways to Maintain a Naturally Bright Smile
Good news: there are gentle, effective ways to keep your smile naturally bright:
Practice Excellent Oral Hygiene: Brushing and flossing twice daily regularly removes plaque and helps prevent staining. This foundation keeps your smile naturally bright without risking damage to your precious enamel. Learn more about preventative dentistry.
Choose Whitening Toothpaste Wisely: Look for products with the American Dental Association (ADA) Seal of Acceptance. These toothpastes gently remove surface stains without excessive abrasiveness, protecting your teeth while brightening your smile.
Be Mindful of Your Diet: Certain foods and beverages, coffee, tea, red wine, and berries, can stain teeth over time. Understanding what causes tooth staining, drinking through a straw, and rinsing with water after enjoying these items helps minimize staining while letting you enjoy your favorites.
Avoid Tobacco Products: Tobacco products cause significant tooth discoloration. Learn about tobacco use and oral health. Quitting smoking benefits both your oral health and your smile’s appearance, contributing to overall wellness for you and your family.
Schedule Regular Dental Cleanings: Professional dental cleanings gently remove stubborn surface stains and tartar that brushing alone can’t eliminate. Discover the benefits of regular dental checkups. Our caring team makes each visit comfortable and stress-free.
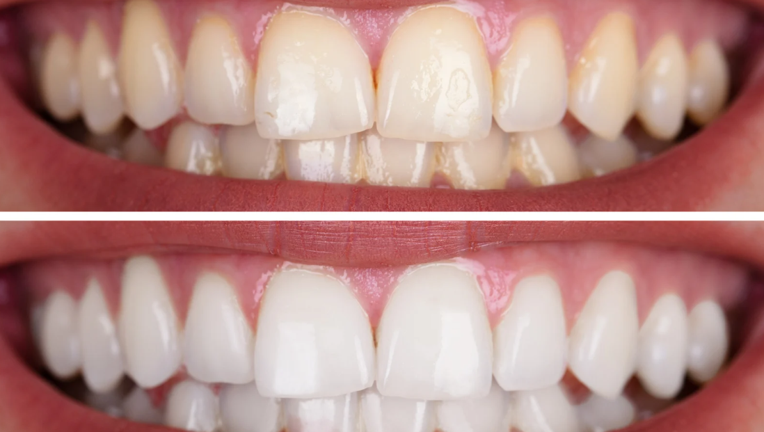
Professional Tooth Whitening in Webster: Your Best Choice for a Radiant Smile
When you’re ready for truly noticeable results, professional teeth whitening in Webster at Empire Dental Care offers the safest and most effective solution. Our compassionate team provides personalized treatment tailored to your specific needs and goals, ensuring you feel comfortable every step of the way.
- Our professional whitening services offer several advantages:
- Carefully controlled, safe whitening agents that protect your enamel
- Customized treatment plans designed just for your unique smile
- Faster, more dramatic results than store-bought products
- Gentle protection for your gums and soft tissues throughout treatment
- Professional care and monitoring to ensure your comfort
We understand that concerns about sensitivity may be on your mind. That’s why we create a calm, gentle experience and explain your options clearly so you feel confident moving forward.
Frequently Asked Questions
How long do professional whitening results last?
With proper care and good oral hygiene, professional tooth whitening in Webster can last from several months to a few years, depending on your daily habits and maintenance routine.
Is tooth whitening safe for sensitive teeth?
Absolutely. Professional whitening can be customized for sensitive teeth. Our gentle approach and personalized care ensure your comfort throughout the entire process.
Will whitening damage my enamel?
Professional tooth whitening in Webster, performed under careful dental supervision, is completely safe and doesn’t damage enamel when done correctly by experienced professionals.
Your Family’s Smile Deserves Expert, Compassionate Care
Your family’s smile deserves expert, compassionate care from a trusted team. Skip the risky DIY trends and choose safe, professional tooth whitening in Webster with Empire Dental Care. Our dentists help families across Webster enjoy healthier, brighter smiles with proven treatments.
Call (585) 671-1650 today to schedule your tooth whitening consultation and explore your options. Let our experienced, gentle team create a personalized plan to give you the confident, radiant smile you deserve.
Sources:
[1]. https://pmc.ncbi.nlm.nih.gov/articles/PMC10024105/

