You brush and floss your teeth twice a day and visit your dentist regularly, so your teeth should be in great shape, right? Unfortunately,...
Author: Empire Dental Care
When Should Children Have Their First Dental Visit? A Guide for Webster Parents
As a parent, you want to give your child the best start in life, and that includes a healthy, confident smile. But when should you...
Do You Need a Root Canal? Warning Signs Webster Patients Should Know
When tooth pain strikes, it's natural to feel worried. But understanding the warning signs of a damaged tooth can help you get relief...
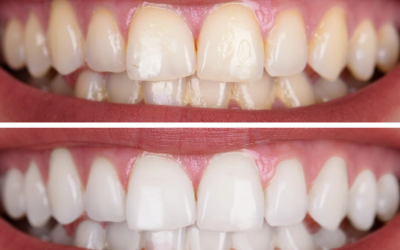
How Coffee and Wine Stain Teeth (And What to Do About It)
Do you love starting your morning with a hot cup of coffee or unwinding with a glass of red wine in the evening? You're not alone. These...
Porcelain Veneers in Webster: When Are They the Right Choice?
Your smile is one of the first things people notice about you, and when you're not confident in it, that hesitation can affect every...
How Often Should You Get a Dental Exam in Webster?
When was your last dental exam in Webster? If you can't remember, you're not alone. Many families struggle to keep up with routine dental...
How to Protect Your Teeth from Wear and Tear as You Age
Your smile has served you well through countless meals, conversations, and moments of joy. Just as you've cared for your overall health...
Dental-Friendly Foods That Strengthen Your Teeth
Did you know that what you eat plays a powerful role in protecting your smile? At Empire Dental Care, preventative dentistry in Webster...
Gum Disease and Heart Health: What Webster Patients Should Know
Your gums do more than just hold your teeth in place; they may also play a role in protecting your heart. Recent research has revealed an...









